Porcelain veneers are all the rage now in the field of cosmetic dentistry. They can be done on either the upper or lower arch, and can now be made completely without shots or tooth preparation!
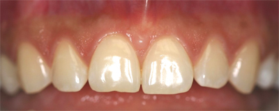
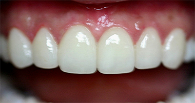
Here are three examples - before and after - of the amazing results that can be attained with porcelain veneers:

Before
After
As you can see, the difference can be very dramatic. And what is really exciting about this process is that we can now place these porcelain veneers without any tooth preparation or shots.
Frequently Asked Questions
Q.
How much do veneers cost?
A.
The cost of a porcelain veneer can range from $800-$1400 per
tooth. In our office,
we charge a $1150 including lab.
Q.
How long do they last?
A.
It is impossible to predict exactly how long a porcelain veneer will
last. Generally they
can be expected to last between five and 20 years depending upon
wear. One thing that
will make them last longer is good oral hygiene. Conversely, if the patient
is not conscientious about their oral hygiene, veneers may only
last five to 10 years.
Q.
Is it true that porcelain veneers can now be placed without any
tooth reduction or shots?
A.
Yes. That is what is so exciting about this new technology. Now without any tooth
preparation whatsoever, we can give patients a beautiful new
smile.
Q.
How about insurance… will they pay for porcelain
veneers?
A.
No. Unfortunately almost all insurance companies will consider
veneers to be cosmetic and will not pay.
B.
Are there any restrictions on eating? And what about placing veneers
on lower teeth… is that possible?
A. There are really no restrictions with porcelain veneers. But we do advise patients to be a little careful with hard foods and certain habits, such as chewing ice.
If you think you may want to look into porcelain veneers, please contact us - either by phone or online. We will schedule a complimentary examination appointment for you at your earliest convenience.
Our telephone number is 0803-318-1698.
Best Regards,
Dr.
Wale Adeleke
| Dental Emergencies | Bad Breath | Patient Education | Newsletter | About Dr. Adeleke | About Our Office | Map | Dental Resources | Our Guarantee | Gag Reflex Relief | Value Certified | Dental Health Insurance | Payment Plans | Contact Us
Copyright © 2023 Dr. Wale Adeleke BDS. All Rights reserved.